Saya terbaring di ruang luas yang disekat-sekat gorden hijau muda. Sambil mengedip-ngedipkan mata mengembalikan kesadaran saya mencari sesuatu pada langit-langit ruangan luas berwarna putih.
Terdengar suara mengaduh dari balik gorden hijau muda di kiri saya. Mencoba mencari asal suara, tapi yang tampak adalah si pendamping pasien yang sedang menatap penuh kekhawatiran. Tak tega, saya mengalihkan pandangan ke arah telapak kaki di ujung tempat tidur. Tampak jauh di ujung sana para tenaga medis hilir mudik dengan isi kepala penuh. Sesekali mereka duduk di belakang meja kerja untuk mencatat dan mengisi form di layar monitor komputer.
Tangan kanan saya terpasang jarum dan selang infus dengan gerak reflek hendak memegang dada yang terasa sesak ketika mau mengubah posisi badan yang masih terbujur. Urung duduk, tangan kanan itu meraba-raba bagian tubuh yang lain. Ada sakit di perut. Sedikit perih di wajah. Ada jahitan di dagu. Eh, ada pula selang oksigen menempel di hidung.
Mencoba menggerakkan tangan kiri. Berat. Tak kuasa digerakkan. Mata melirik ke beban berat itu. Ada tiga potongan bidai mengikat seluruh tangan, persis zaman pelajaran P3K di masa Penggalang ketika hendak berangkat ke Jambore Daerah mewakili Kotamadya Malang.
“Pak, saya mohon maaf. Saya mohon maaf,” terdengar suara seseorang datang menghampiri kemudian memegang tangan kanan saya dan mengulang-ulang kalimat itu layaknya sebuah mantra, “Pak, saya mohon maaf. Saya mohon maaf.”
Mengetahui saya tersadar, dokter jaga bergegas menghampiri kami.
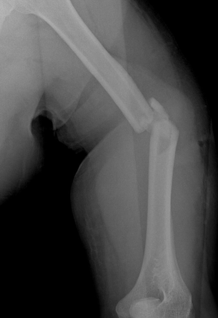
“Pak, ini hasil CT Scan dan rontgen yang pagi tadi,” kata sang dokter jaga menunjukkan file yang ada di handphone-nya. “Semua ok, ada 13 file, nanti saya kirimkan ke hape Bapak.”

Ucapan dokter jaga tersebut mengingatkan pada scene selintas ketika saya tersadar saat lampu rontgen menyala di atas kepala (baca di sini).
“Pada dasarnya semua ok. Kecuali humerus, lengan atas kiri yang harus dioperasi. Kita bisa jadwalkan operasi di sini, besok jam satu siang. Tapi kalau Bapak punya pertimbangan lain kita bisa bikin rujukan.”
Dokter Jaga meninggalkan saya yang sedang menimbang hendak dioperasi di mana. Apakah dibawa pulang ke Sidoarjo, atau dioperasi di Malang saja.
“Pak, Bapak gak apa-apa?” Saya bertanya kepada Pak Bagus yang sepertinya masih dalam keadaan shock di antara mantra-mantra yang dirapalkannya.
“Gak apa-apa Pak.” Singkat Pak Bagus menjawab sambil tersenyum getir.
“Punya foto kondisi kendaraannya? Gak parah kan?” Untuk kali pertama saya mengkhawatirkan Si Avanza Silver 2013 yang beberapa bulan belakangan menjadi kendaraan yang ditumpangi kemana-mana.
Pak Bagus mengangguk dan membuka hp-nya.
“Pak, gimana?” Dua orang bergegas datang menghampiriku. Suara familiar Pak Agung menyapa penuh kekhawatiran. Di belakang Pak Agung ada Pak Baim membuntuti.
“Kapan datang Pak? Berangkat jam berapa dari sana?” Saya ditanyain malah balas bertanya.
“Langsung tadi Pak. Begitu Pak Bagus ngabarin jam empat, langsung berangkat berdua Pak Baim. Pak Bayu mungkin nanti nyusul.”
“Sudah lihat kendaraan Pak? Ada foto-fotonya?”
Baim sigap menunjukkan foto-foto dari hp-nya.

Saya terkesiap dan merinding. Dengan foto kendaraan yang hancur lebur seperti itu, hanya akan operasi lengan tangan kiri terasa sebagai keajaiban. Blahi slamet tenan.
***
Blahi, berasa dari kata billahi, berkat Allah atau sebab (pertolongan) Allah. ‘Blahi selamet‘ bisa diartikan karena berkat Allah (maka) orang itu selamat.
Billahi atau lidah Jawa mengatakan blahi adalah wujud sikap bersyukur dan ridlo atas apa yang terjadi dan menimpa manusia.
Dalam beberapa kesempatan kemudian, banyak kawan yang memberikan kesaksian bahwa telah mengkhawatirkan kondisi saya dalam kondisi worst case scenario hanya dengan melihat foto kendaraan yang dalam bahasa asuransi disebut sebagai ‘totally lost’ dan setelah melihat kondisi saya aktual kemudian mengirimkan kata-kata itu: ‘blahi selamet’ sebagai bentuk rasa syukur.
Saya sendiri masih merinding, Saat kejadian dalam kondisi tidur dan bangun-bangun sudah di fasilitas IGD. Padahal bisa saja dalam kondisi itu beda tipis kecepatan, beda tipis waktu kejadian, beda tipis jaraknya, bisa saja menghasilkan resultan yang jauh berbeda dengan kondisi sekarang. Blahi selamet tenanan. Alhamdulillah.
[kkpp, 21.03.2025]

Tinggalkan komentar